טרנד אינדקס הקרינה: סרטוני טיקטוק מעודדים צעירים להזיק לעצמםאינדקס הקרינה הפך לטרנד פופולרי בקרב צעירים, המנצלים דווקא את שעות קרינת ה-UV הגבוהות לשיזוף, אך בכך מעמידים את עצמם בסכנה גבוהה בהרבה לסרטן העור | הסבר על מהו אינדקס הקרינה והשימוש בו ישראל שמאיישראל שמאי
טלטולי הדרך והמחלה: "לגור בקרית גת עם סרטן זה להיות משוגע"על פי נתוני האגודה למלחמה בסרטן, בכל שנה נוספים מעל 10 אלפים חולי סרטן חדשים בפריפריה, אשר מצטרפים למעגל הסובלים מפערי נגישות לשירותים אונקולוגיים - בנוסף למחלהאלינור פבריקראלינור פבריקר
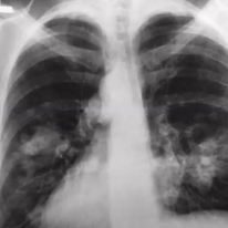
לא רק עישון: הרגלי התזונה שמעלים דרמטית את הסיכון לסרטן ריאותמחקר מצא קשר חזק בין צריכת שומן רווי לסיכון לחלות בסרטן הקטלני בעולם. מחקר נוסף מצא כי גמילה מעישון בכל שלב, גם לאחר אבחון בסרטן הריאה מעלה משמעותית את סיכויי ההישרדותישראל שמאיישראל שמאי
ניסיונן האישי הוליד את "מרכז שני", שם לומדים לחיות אחרי הסרטן"כשאתה יוצא מהסרטן, אתה לא מי שהיית לפני כן. אתה צריך ללמוד לקבל את האדם החדש שבך, ולא כולם מסוגלים לכך", אומרות ריטה זילבר ודליה קרון. אחרי שעברו בעצמן אשפוזים, ניתוחים וטיפולים קשים, התברר להן שגם הדרך בחזרה לחיים עשויה להיות ארוכה ומייסרת. ב"מרכז שני" שייסדו הן מסייעות למחלימים לעמוד מול האתגרים שאחרי המחלה, ובעיקר מאפשרות להם לשתף ולשוחח בשפה סודית, שמי שלא היה במחלקה האונקולוגית לא יבין לעולםמיכאל טוכפלדמיכאל טוכפלד
אגו וכסף: גיורא איילנד חושף את מחדלי מערכת הבריאותניגוד אינטרסים, בעיית התמקצעות וניסיון לחסוך על גב החולה: כשבגופו התגלה סרטן הערמונית, האלוף במיל' עבר ניתוח פולשני שלא הוביל לריפוי אלא רק גרם לכאבים כרוניים בלתי נסבלים. רק לאחר מכן התברר לו כי היו גם אפשרויות אחרות. בספר חדש הוא מספר על מה שעבר, ומסביר לחולים איך להציל את חייהםאלישיב רייכנראלישיב רייכנר
חיפה סובלת מעודף תחלואה בסרטןנתוני משרד הבריאות חושפים כי תושבי העיר הצפונית חולים יותר בסוגי הסרטן השונים מאשר באזורים אחרים במדינה. נתונים מטרידים גם במגזר הערבי, ירושלים במקום האחרון. בכירה במשרד הבריאות: "אין אפשרות להסיק לגבי קשר ישיר בין זיהום סביבתי לבין התחלואה בסרטן"יאיר קראוסיאיר קראוס